Skip to main content
Cosmetic Veneers
Cosmetic Veneers

Cosmetic Veneers added to enhance smile

Veeners Cosmetic Upgrade
Veeners Cosmetic Upgrade

Veneers for a Cosmetic Upgrade

All Porcelain Crown
All Porcelain Crown

An all porcelain crown replaces a porcelain to metal crown

Veneers lay on Top of Existing
Veneers lay on Top of Existing

Veneers lay on top of existing teeth and can dramatically change your appearance

Gap in teeth
Gap in teeth

A gap in teeth can be remedied with Veneers

Veeners Whitening
Veeners Whitening

Veneers, Whitening & Filing

Cosmetic Veeners to Enhance Smile
Cosmetic Veeners to Enhance Smile

Cosmetic Veneers were used to enhance smile

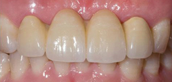
Missing Teeth Replaced by Bridge
Missing Teeth Replaced by Bridge

Missing teeth replaced with a Bridge

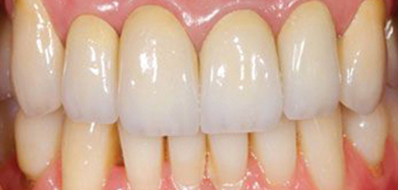
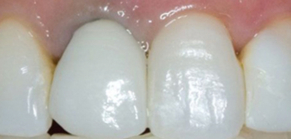
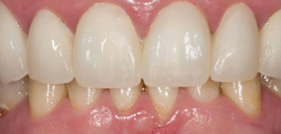
Several Cosmetic Services
Several Cosmetic Services

Several cosmetic services, including replacing of an old crown, add to this smile make over

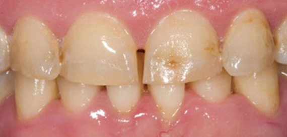
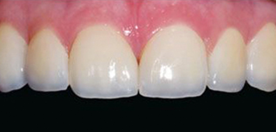
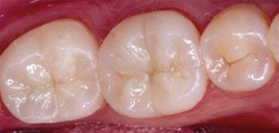
Tooth Colored Fillings
Tooth Colored Composite

Tooth colored composite fillings replaces worn metal fillings

Replacement Crown to all Porcelain
Replacement Crown to all Porcelain

Replacement Crown to all Porcelain

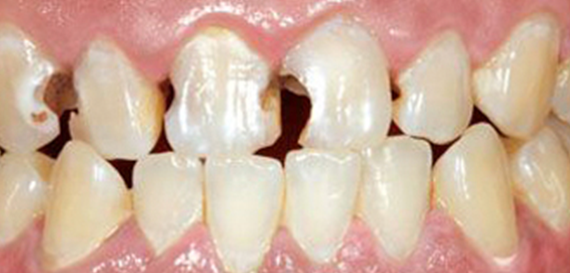
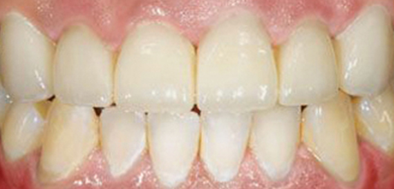
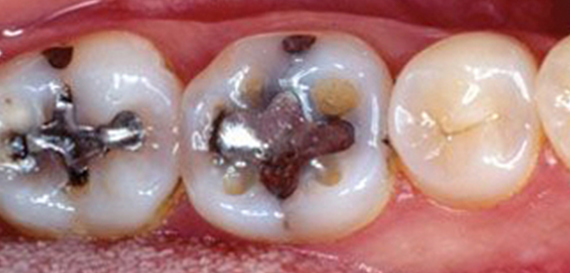
Tooth Fillings
Tooth Fillings Before

Tooth colored fillings were able to restore these teeth